Tamara Stradiot Karleuša
Dott.ssa in odontoiatria
DENTISTA CROAZIA
DOPO AVER FATTO TANTE RICHERCHE, NAVIGANDO SU INTERNET CON LE PAROLE "DENTISTI IN CROAZIA", FINALMENTE HO TROVATO IL MIO STUDIO DI FIDUCIA SUL SITO "MIO DENTISTA CROAZIA". LI HO TROVATO MIO DENTISTA – AMICO :)

DENTISTI CROAZIA
Uno dei fattori essenziali per una terapia di successo è il dialogo tra il paziente, medico e il suo personale, nonché l’impressione diretta del paziente sul lavoro del medico (dentista) e di tutto il team dello studio dentale. L’opinione dei pazienti è altrettanto essenziale nella scelta di uno studio dentale.

L'odontoiatrὶa ha rappresentato da sempre uno dei rami della medicina, facendo degli interventi che sono d'importanza essenziale per la salute della bocca, ma anche per l'estetica del viso. Oggidì è purtroppo nota la tendenza di mettere al primo posto la disciplina cosmetico-esteticha rispetto a quella della salute dentale e della cavità orale. L'obiettivo principale di un dente sostitutivo è di adempiere la sua funzione, di essere elaborato bene e di armonizzarsi esteticamente con la situazione già esistente. Accentuando, al primo posto, il lato estetico dell'intervento, risultano spesso lavori che soddisfano solamente la parte estetica, e in realtà non si adeguano correttamente al sistema masticatorio e di conseguenza non contribuiscono al mantenimento della salute dentale. Pertanto, l'obiettivo della medicina dentale (odontoiatria) nel nostro studio dentistico in Croazia, è quello di dare uguale importanza e qualità sia all'elemento estetico che a quello funzionale.

Qual'e' il comportamento corretto di un medico di odontoiatria? La base dell'etica di ogni medico è un comportamento responsabile. Qualsiasi dottore che prende cura della Vostra salute Vi offrirà diverse soluzioni relative alla Vostra salute orale. Un medico di medicina dentale responsabile, non potrà mai insistere sulla soluzione più costosa e neppure sui materiali e tecnologie più costose (spesso non sufficientemente testati). Sia il dottore di odontoiatria sia il paziente devono sapere che il successo di qualsiasi trattamento non dipende solamente dal materiale, ma dall'esperienza del dottore di odontoiatria, del suo team e dalla Vostra collaborazione. Le opzioni che vengono proposte da un dottore di odontoiatria devono avere una spiegazione basata sul suo sapere e sulla valutazione delle Vostre esigenze. Se il paziente insiste su determinate procedure, è necessario spiegargli i vantaggi e gli svantaggi di questi interventi non basandosi solamente al fattore economico.

Insistendo su alcune procedure, “che vanno oltre l'etica medica, e di cui Vi siete informati mediante canali non verificati “, private il Vostro dentista della possibilità di diagnosi e di indicazioni (della valutazione del caso, ovvero di cosa sia migliore per ogni singolo paziente, cioe` per Voi stessi). L'esperienza ha dimostrato che l'unico approccio corretto ad ogni intervento medico-dentisctico, è l’approccio etico. Per soddisfare i criteri dell’approccio etico è necessaria la cooperazione tra Voi e il Vostro dottore di odontoiatria: la comprensione reciproca, la pazienza, la tolleranza e una corretta relazione. Tutto ciò si instaura dopo anni di lavoro e di cooperazione. Per la Vostra salute è necessario il nostro impegno, e noi lo facciamo con piacere e serietà, nell nostro studio dentistico in Croazia – Fiume.
www.mio-dentista-croazia.com
Quali interventi nella cavita orale vengono ritenuti eticamente contestabili ?
1.LE FACCETTE DENTALI ( “faccette estetiche” oppure “ veneers” )
Oggi esistono numerose richieste per questo tipo di intervento, perche i pazienti, illusi dalle pubblicità,
ritengono che le faccette dentali siano un metodo di correttura estetica del sorriso, non invasivo.
Ma per quanto il loro impatto sui tessuti dentali sia considerato tale, poiché le faccette vengono fissate sulla superfice dei denti minimamente limati e qualche volta anche senza limare i denti, ogni dottore di odontoiatria (con esperienza), sa che l'installazione di un tale sostitutivo influenzerà sulle funzioni del sistema masticatorio (come la pronuncia di alcune parole, la masticazione, lo spostamento della mandibola - fattori che influiscono l’articolazione temporo-mandibolare).
Altro svantaggio raramente menzionato è la loro durata, che generalmente in futuro porta a costi spesso imprevedibili ma quasi sempre significativi.
L’etica della odontoiatria prevede: l'indicazione, ovvero la necessità di faccette estetiche è molto limitata e quindi faccette devono essere impiegate con cautela.
2.PROTESI FISSE (ALL ON FOUR, FIVE, SIX... E SIMILI)
Ovvero ponti in ceramica fissi su impianti dentali
La prima domanda che il paziente deve porsi è qual'e' il motivo della perdita dei denti proprii, e il motivo di dover ricorrere a questo tipo di sostituzione di denti.
Oggi, molti dentisti realizzano le protesi fisse su impianti, come soluzioni rapide in caso di completa perdita dei denti. Ma bisogna essere coscienti che questi lavori richiedono una manutenzione molto accurata negli anni che seguono l’intervento, fatto su cui i pazienti spesso non sono sufficientemente informati e per questo motivo il lavoro fatto tante volte viene trascurato.
Queste soluzioni "veloci" riducono spesso la possibilità di terapie successive (in caso di complicazioni) e prima di prendere una decisione definitiva, bisogna tenere presente che nessuna soluzione rapida potrà mai sostituire quello che ci era stato regalato dalla natura e trascurando si e' perso.
3.IMPIANTI DENTALI „a coupon“
Gni terapia implantare è una procedura medica invasiva (una forma di intervento chirurgico nella cavità orale) e può provocare delle complicazioni e conseguenze indesiderate (tutto il rischio dipende dal tipo di intervento, invasività, durata, dolore, ansia e stress operatorio, decorso post operatorio...).
Ci sono pazienti e dentisti che acquistano gli impianti dentali “on-line”, oppure quelli "low cost", per renderli più economici.
Se come il paziente cercate di insistere un impianto dentale acquistato in questo modo, effettivamente condizionate il Vostro dottore di odontoiatria, limitandolo nella scelta della terapia che lui ritenga sia la migliore nel Vostro caso.
I nostri servizi
Per tutti, la bocca rappresenta una sfera privata. La bocca è il luogo della parola, del respiro e del nutrimento. A bocca aperta siamo tutti più vulnerabili.
Il nostro team


Tamara Stradiot Karleuša
Dott.ssa in odontoiatria
"INFO"
Passatempo
Jogging, Aerobica...
interessi
Viaggi


Marko
Končurat
Dottore in Odontoiatria
"INFO"
Passatempo
fitness, viaggi
interessi
cantautore


Alesandra Medved
Segretaria nel nostro studio dentistico ( studio odontoiatrico)
"INFO"
Passatempo
passeggiate, meditazione
interessi
viaggi


Nataša Smajlagić
Assistente alla poltrona
"INFO"
Passatempo
la danza
interessi
piccoli restauri e lavori manuali
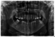
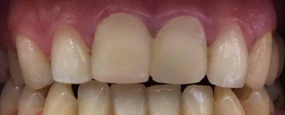
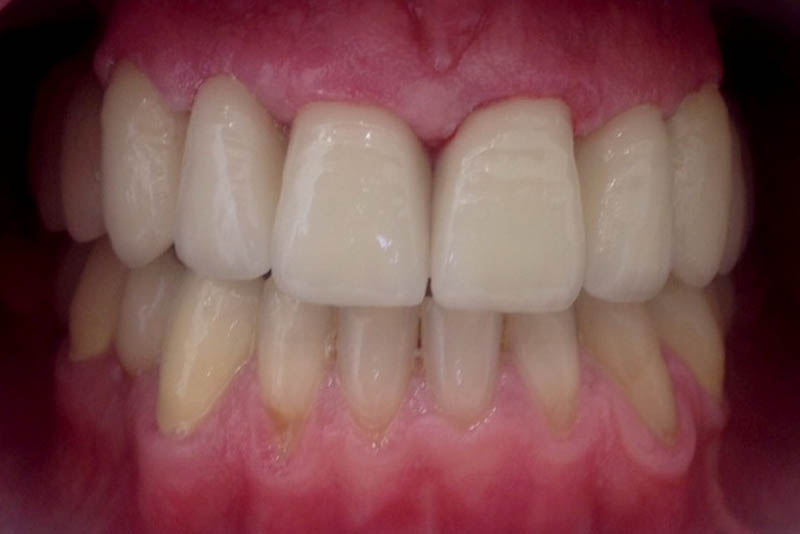
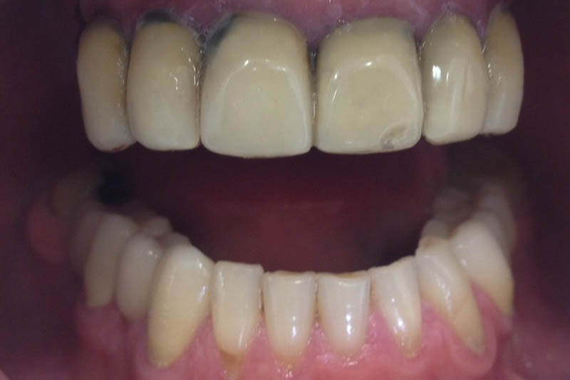
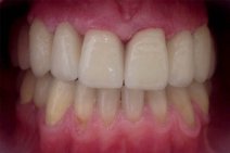
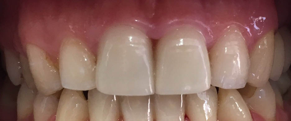
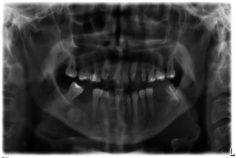
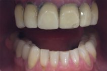
Galleria fotografica
Secondo nostro staff, tecniche migliori per superare l'odontofobia siano psicologiche e percio` cerchiamo di capire il paziente e dare ad ogni uno completa fiducia nell nostro lavoro.
Video
Il nostro video per scoprire dove ci troviamo e per conoscere il nostro studio dentistico
Per l'Italiano: attivare i sottotitoli del video
Una nuova "normalità
Contatto
MIO DENTISTA CROAZIA - DENTISTI CROAZIA
Trpimirova 2, 51000 Rijeka (Fiume) Croazia TEL: +385 51 212 578
